- Показывают половозрастную вариативность анатомии и готовят врачей к работе с реальными пациентами.
- Воспроизводят все сложные структуры костей и органов, а также анатомические особенности, которые невозможно воспроизвести обычным промышленным способом.
- Модели создаются в лаборатории из доступных в России материалов.
- Покрыты специальным полимером, который увеличивает износостойкость изделий.
- Можно маркировать модель для использования с технологиями дополненной реальности.
Показывают половозрастную вариативность анатомии и готовят врачей к работе с реальными пациентами.
Воспроизводят все сложные структуры костей и органов, а также анатомические особенности, которые невозможно воспроизвести обычным промышленным способом.
Покрыты специальным полимером, который увеличивает износостойкость изделий.
Модели создаются в лаборатории из доступных в России материалов.
Можно маркировать модель для использования с технологиями дополненной реальности.
#1
#5
#3
#2
#4
Процесс производства
Для производства используются компьютерные томографические исследования реальных людей. Снимки переводятся в 3D формат и детально формируются 3D скульптором.
Модель печатается на 3D принтере с точностью до 25 микрон. Полученные модели максимально точно передают структуру и объем тканей, включая индивидуальные анатомические особенности человека.
Для производства используются компьютерные томографические исследования реальных людей. Снимки переводятся в 3D формат и детально формируются 3D скульптором.
Модель печатается на 3D принтере с точностью до 25 микрон. Полученные модели максимально точно передают структуру и объем тканей, включая индивидуальные анатомические особенности человека.
Контроль качества
Для производства используются компьютерные томографические исследования реальных людей. Снимки переводятся в 3D формат и детально формируются 3D скульптором.
Модель печатается на 3D принтере с точностью до 25 микрон. Полученные модели максимально точно передают структуру и объем тканей, включая индивидуальные анатомические особенности человека.
За точностью и детализацией моделей следят практикующие преподаватели анатомии Первого Санкт-Петербургского государственного медицинского университета им. И.П. Павлова и Российского национального исследовательского медицинского университета имени Н.И. Пирогова.
ООО «Анатомическое проектирование» — резидент ИНТЦ «Интеллектуальная электроника — Валдай»
Партнеры
Первый Санкт-Петербургский государственный медицинский университет им. И.П. Павлова
Частное образовательное учреждение дополнительного профессионального образования «Медико-гуманитарный институт» (ЧОУ ДПО МГИДО)
Российский национальный исследовательский медицинский университет имени Н.И. Пирогова.
Наши партнеры
ООО «Анатомическое проектирование» — современное инновационное предприятие, где с 2022 года создаются анатомические модели ключевых органов человека высокой детализации. Производство осуществляется на базе лаборатории в ИНТЦ «Интеллектуальная электроника — Валдай».
Первый Санкт-Петербургский государственный медицинский университет им. И.П. Павлова
Частное образовательное учреждение дополнительного профессионального образования «Медико-гуманитарный институт» (ЧОУ ДПО МГИДО)
Российский национальный исследовательский медицинский университет имени Н.И. Пирогова.
В СЕНТЯБРЕ 2022 ГОДА ПРОЕКТ ПРЕДСТАВИЛИ ПРЕЗИДЕНТУ РФ ВЛАДИМИРУ ПУТИНУ
Add here some interesting details about the product. Help people realize that this product is exactly what they need. It could be practical and useful information as well: the size of the product, material that it is made of, or care instructions.
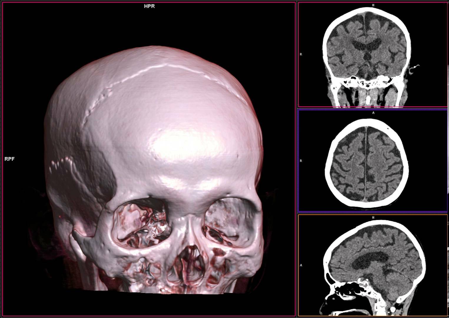
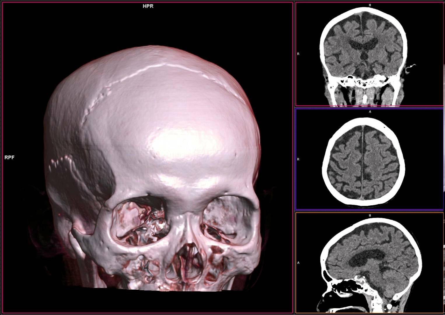
Череп
90
руб
Купить
Add here some interesting details about the product. Help people realize that this product is exactly what they need. It could be practical and useful information as well: the size of the product, material that it is made of, or care instructions.
Сердце
108
руб
Купить
Add here some interesting details about the product. Help people realize that this product is exactly what they need. It could be practical and useful information as well: the size of the product, material that it is made of, or care instructions.
Sac Marin Yellow
108
руб
Купить
Add here some interesting details about the product. Help people realize that this product is exactly what they need. It could be practical and useful information as well: the size of the product, material that it is made of, or care instructions.
О школе анатомии
ООО «Анатомическое проектирование» — современное инновационное предприятие, где с 2022 года создаются анатомические модели ключевых органов человека высокой детализации. Производство осуществляется на базе лаборатории в ИНТЦ «Интеллектуальная электроника — Валдай».
В процессе работы сотрудники компании создают банк цифровых моделей, который в перспективе будет использован для создания электронного атласа и комбинированной модели обучения с использованием дополненной реальности.
Наличие собственной лаборатории по развитию анатомического моделирования — ключ к разработке современных образовательных программ в медицине.